
Dental veneers are a popular cosmetic solution to improve the appearance of your smile. In this section, we will specifically introduce you to emax veneers, which offer distinct characteristics compared to other types of dental veneers.
Emax Veneers details
Emax Veneers
Prices
About
What is a Emax veneer ?
Emax veneers are thin, high quality ceramic veneers made from a lithium disilicate material. This material offers exceptional resistance and aesthetics, allowing the creation of very realistic and durable dental veneers.
Characteristics of Emax veneers:
- High quality thin ceramic coating
- Made from lithium disilicate
- Resistant and aesthetic
- Creates a natural and harmonious look
- Require minimal tooth preparation
In addition, the Emax ceramic layers are extremely thin
In modern dentistry, E.Max is considered the ultimate generation of dental ceramics, for the fabrication of veneers and crowns. The veneer that will be placed on you will be made from ceramic only, and will be homogeneous. The hue you see will be exactly the same hue you will have when smiling. This type of veneer does not have any metallic structure, the internal structure of this veneer is exactly the same color as the visible exterior.
When to choose an Emax veneer?
emax veneers are recommended in cases where you want to correct aesthetic dental problems such as:
- Chipped or cracked teeth
- Persistent tooth stains or discoloration
- Spaces between teeth
- Slightly misaligned or irregular teeth
- Replacement of an old unsightly crown
- Unsightly shape of a tooth Tooth too small

Anesthesia needed for veneers procedure
When placing emax veneers, local anesthesia is usually administered to ensure your comfort during the procedure. Your dentist will ensure that you feel no pain during the process.
Veneers Procedure
Steps for laying Emax veneers:
Initial consultation with the dentist to assess your specific case and discuss your expectations.
Preparation of the teeth by removing a thin layer of enamel to allow the laying of the veneers.
Taking dental impressions for the fabrication of custom-made emax veneers.
Try-on and adjustment of veneers to ensure a perfect fit and optimal aesthetics.
Definitive fixation of the emax veneers on the teeth using a special resin.
This process takes place in a few days.
Duration of the dental veneers procedure
The installation of emax veneers can be carried out in two to 3 sessions spread over 4 to 10 days depending on the clinic and depending on the complexity of your case. Each session generally lasts between one and two hours, depending on the number of veneers to be applied.
Results and long-term maintenance of Emax veneers
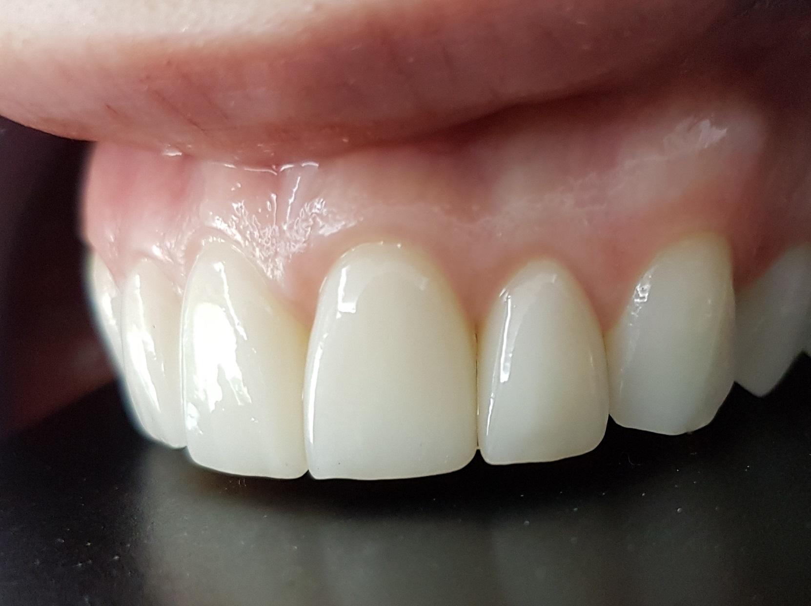
Emax veneers provide exceptional aesthetic results, giving the appearance of natural and harmonious teeth. These veneers are stain resistant and retain their shine for many years with proper care.
To preserve the appearance and durability of your emax veneers, it is essential to maintain good oral hygiene by brushing your teeth regularly, flossing and making regular visits to your dentist.
Recovery
Recovery after Emax veneers is usually quick. You can resume your normal activities as soon as the procedure is over. However, it is recommended to avoid consuming hard or sticky foods that could damage the newly laid veneers.
FAQ
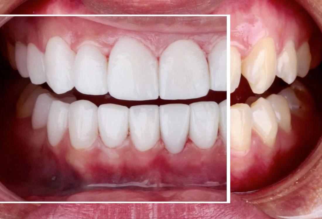
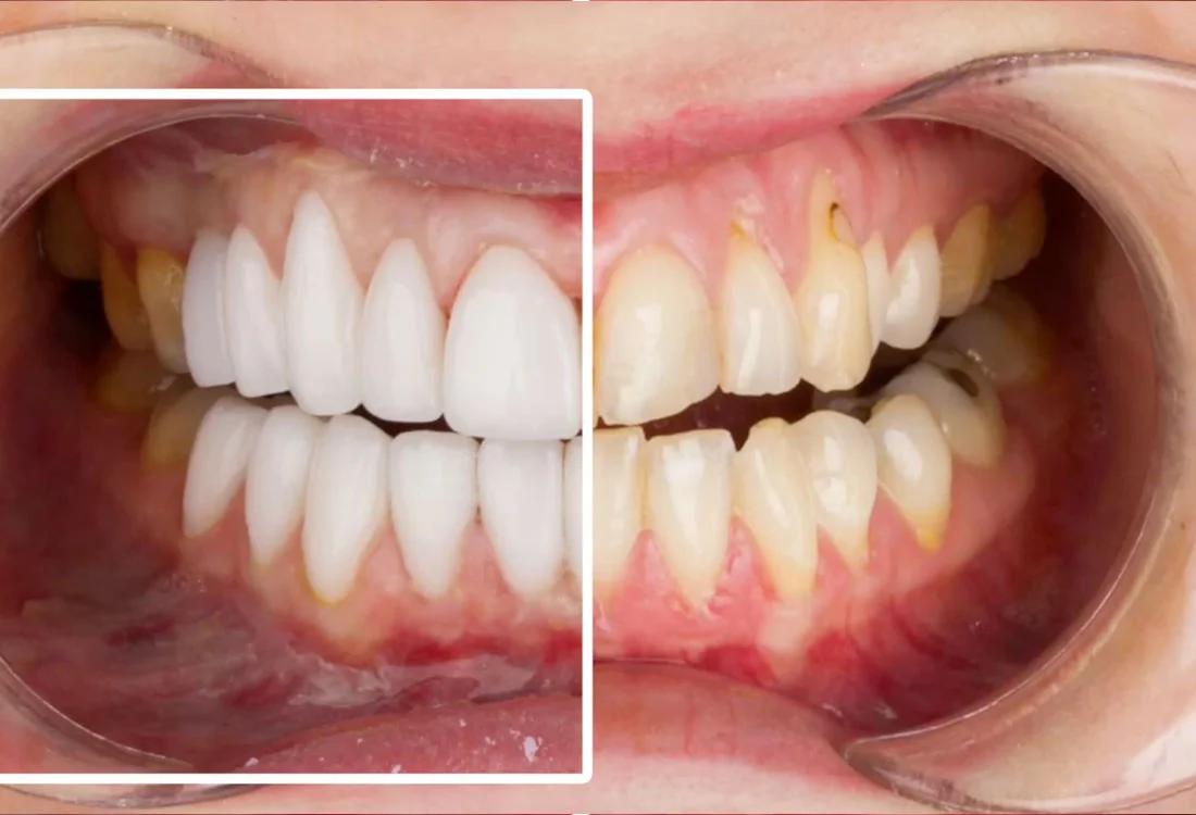
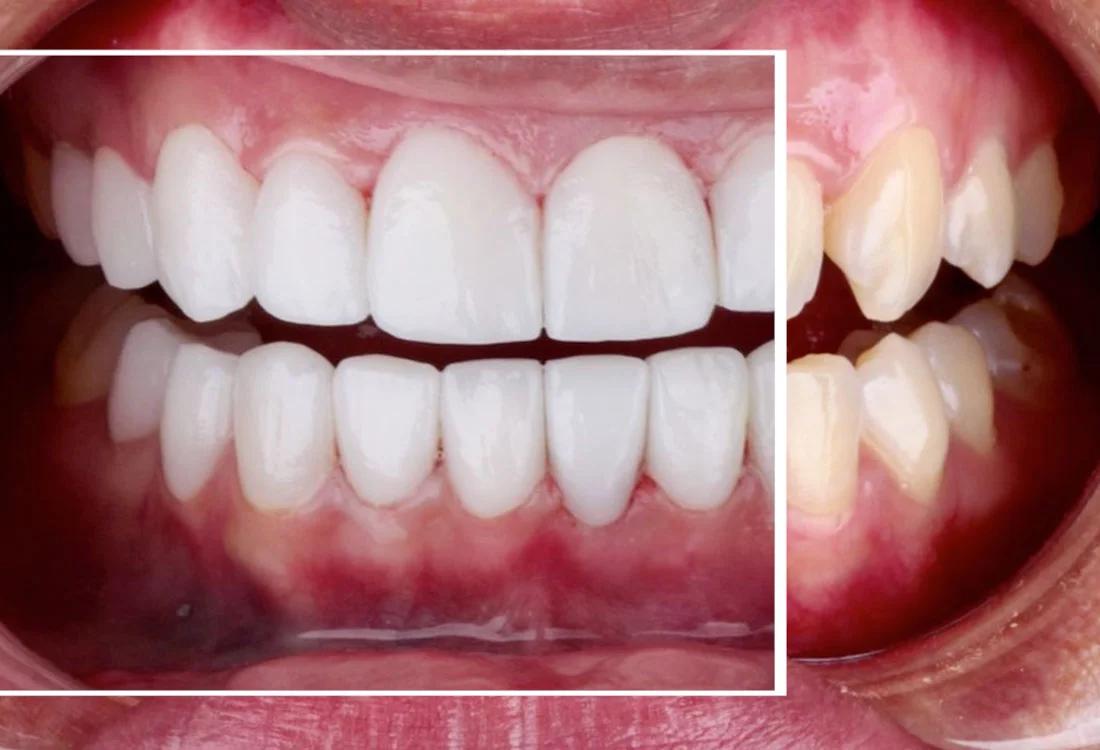
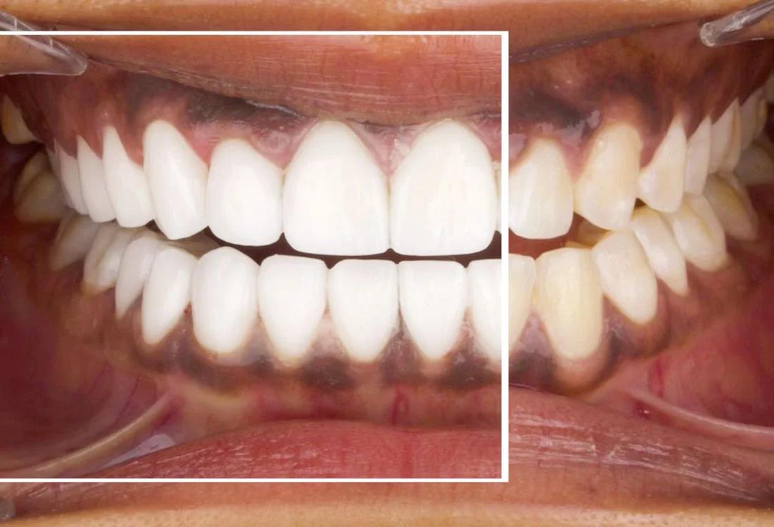
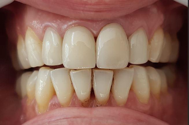
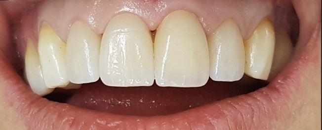
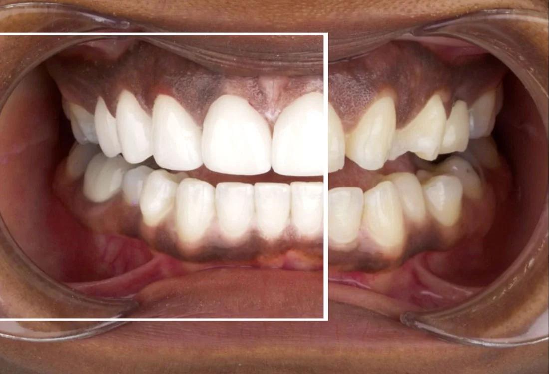
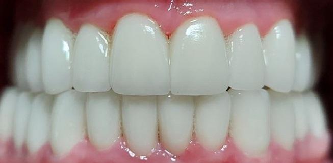
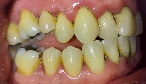
Before / After Results
Discover our patients transformations






.jpeg&w=1920&q=75)







.jpeg&w=1920&q=75)






.jpeg&w=1920&q=75)





.png&w=1920&q=75)





.png&w=1920&q=75)
.jpeg&w=1920&q=75)





.jpeg&w=1920&q=75)




.jpeg&w=1920&q=75)









.jpeg&w=1920&q=75)



.jpeg&w=1920&q=75)



.jpeg&w=1920&q=75)









Before / After Results






.jpeg&w=1920&q=75)